공간유지관리

영구치가 나올 자리를
지켜주는 공간 유지 장치 입니다
지켜주는 공간 유지 장치 입니다

유치가 일찍 빠졌나요?
주변 치아가 말려들지 않게 자리를
잡아주어야 나중에 영구치가
예쁘게 올라올 수 있습니다.

1/3

Band & Loop
제 1,2 유구치의 조기 탈락시에
영구치 맹출 공간을 확보하고 유지합니다.
유치의 조기탈락으로 영구치 맹출공간
상실이 예상될때 사용합니다.

Halterman Appliance
제 1 대구치의 근심경사로
유구치에 걸려 나오지 못할 때,
원심이동하여 영구치의
올바른 맹출을 유도합니다

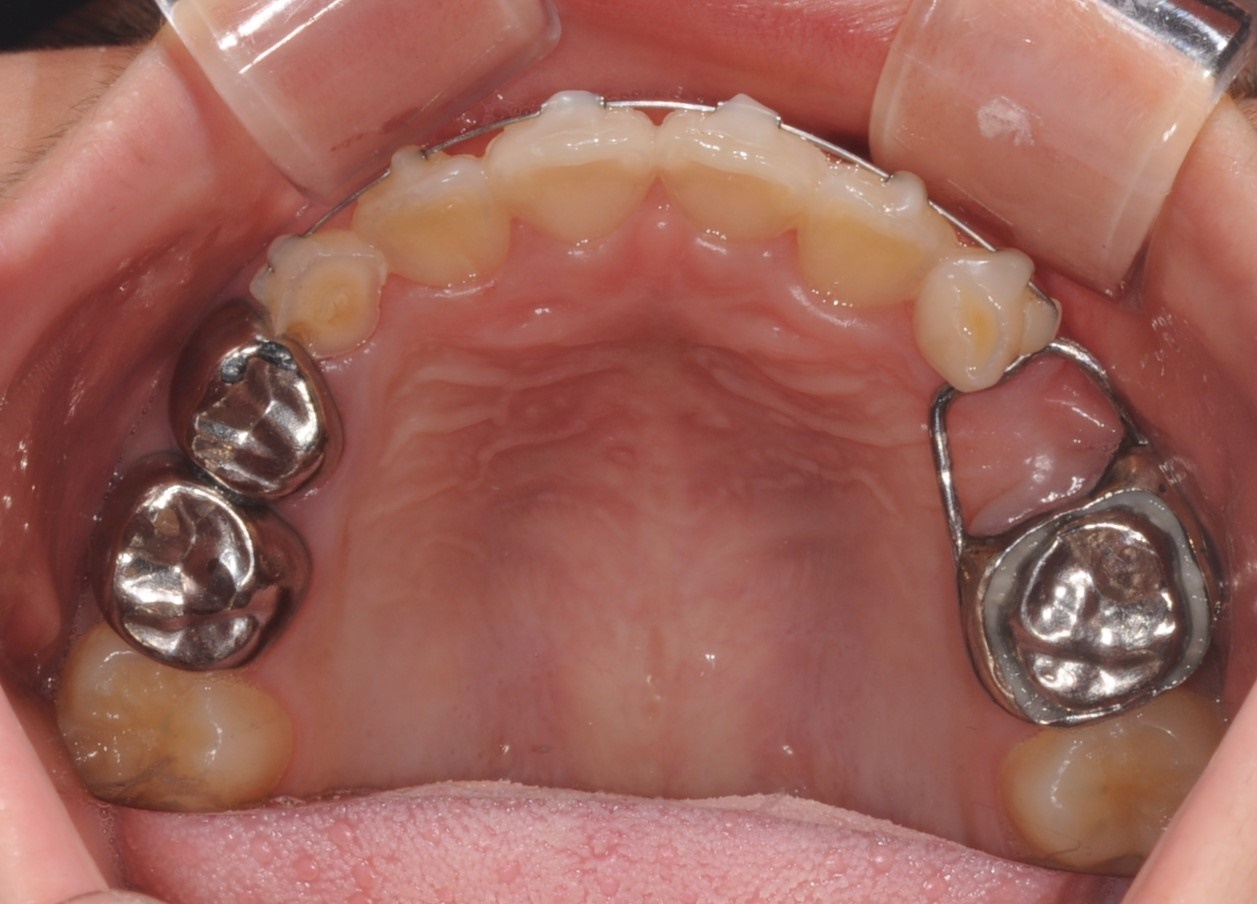
NHA
(Nance holding Appliance)
상악에서 유치의 조기발거 시,
영구치 맹출시기까지 공간을 유지합니다.
상악 공간을 유지하며,
맹출 공간 부족을 방지 및
어금니의 솟음을 방지합니다.

L-A (Lingual arch)
하악에서 유치의 조기발거 시
영구치 맹출시기까지 공간을 유지합니다.
유치 조기 소실로 인한
영구치 맹출공간 부족을 방지합니다.








