부분교정

온가족치과에서는 환자 맞춤형
부분교정이 가능합니다.
부분교정이 가능합니다.

부분교정은 전체 치아를 대상으로 하지 않고,
교정이 필요한 부분이나 원하는 부분만 골라서
단기간내에 교정하는 방법입니다.
필요한 부분만 교정하기 때문에 전체교정보다
저렴할 뿐만아니라 불필요한 통증이나 교정기간을
줄일 수 있습니다.

1/3
온가족 부분교정
추천 대상은?
01벌어지거나 겹치고 삐뚤거나 튀어나온 앞니로 고민이신 분
02전체교정은 부담스럽고 필요로 하는
치아만을 교정하고 싶은 분
치아만을 교정하고 싶은 분
03단기간 내에 빠른 교정을 원하시는 분
04임플란트 등 보철치료를 위해 공간 조정이 필요하신 분
온가족 부분교정
추천 대상은?
01벌어지거나 겹치고 삐뚤거나
튀어나온 앞니로 고민이신 분
튀어나온 앞니로 고민이신 분
02전체교정은 부담스럽고
필요로 하는 치아만을
교정하고 싶은 분
필요로 하는 치아만을
교정하고 싶은 분
03단기간 내에 빠른
교정을 원하시는 분
교정을 원하시는 분
04임플란트 등 보철치료를
위해 공간 조정이
필요하신 분
위해 공간 조정이
필요하신 분
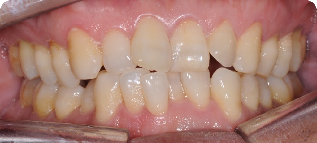
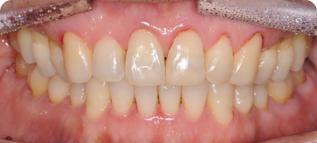
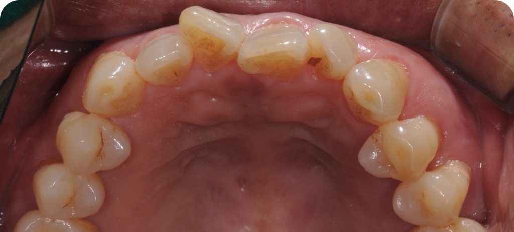
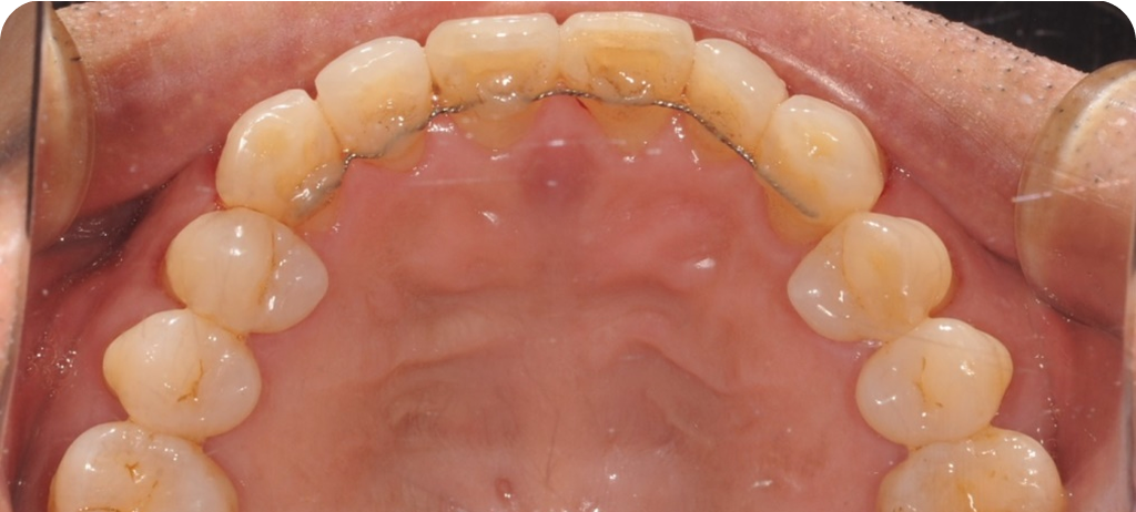
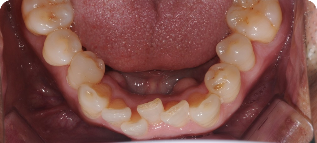
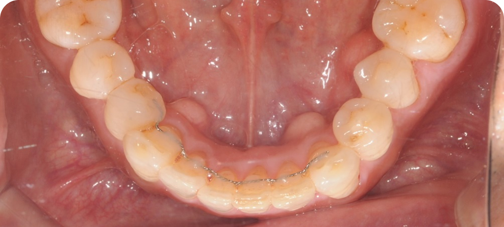
앞니 부분교정 VS 어금니 부분교정

앞니 부분교정 VS 어금니 부분교정
부분교정의
장점
01원하는 부분만을 교정할 수 있습니다
02발치없이 치아다듬기(stripping)를 통해 교정이 가능합니다
03일반 교정 장치에 비해 작고 얇아 편하며,
일상생활에 불편함이 전체교정에 비해 적습니다.
일상생활에 불편함이 전체교정에 비해 적습니다.
04치아 일부에만 장치를 붙이기 때문에
육안으로 크게 눈에 띄지 않고
장치로 인한 불편함이 적습니다.
육안으로 크게 눈에 띄지 않고
장치로 인한 불편함이 적습니다.
05전체 교정에 비해 치료기간이 짧고
비용이 저렴합니다.(평균 3~6개월)
비용이 저렴합니다.(평균 3~6개월)
부분교정의
장점
01원하는 부분만을 교정할 수 있습니다
02발치없이 치아다듬기(stripping)를
통해 교정이 가능합니다
통해 교정이 가능합니다
03일반 교정 장치에 비해 작고
얇아 편하며, 일상생활에 불편함이
전체교정에 비해 적습니다.
얇아 편하며, 일상생활에 불편함이
전체교정에 비해 적습니다.
04치아 일부에만 장치를 붙이기
때문에 육안으로 크게
눈에 띄지 않고
장치로 인한 불편함이 적습니다.
때문에 육안으로 크게
눈에 띄지 않고
장치로 인한 불편함이 적습니다.
05전체 교정에 비해 치료기간이 짧고
비용이 저렴합니다.(평균 3~6개월)
비용이 저렴합니다.(평균 3~6개월)










