가철식 장치교정

가철식 장치교정

가철식 교정은 환자 스스로 장치를 꼈다 뺐다
할 수 있으며, 주로 성장기 어린이의 골격적
부조화를 개선하거나 치아의 가벼운 이동이
필요할 때 사용되는 방법입니다.
식사나 양치 시 장치를 제거할 수 있어
구강 위생 관리가 매우 편리하며,
일상생활의 불편함을 최소화할 수 있습니다.

1/3
가철식 장치교정
추천 대상은?
01성장기 어린이의 골격적 부조화나 턱 성장을 조절하고 싶은 분
02고정식 장치 부착이 부담스럽고 자유롭게 탈착하기를 원하시는 분
03식사나 양치 시 불편함 없이 구강 위생을 청결하게 유지하고 싶은 분
04교정 치료 후 치아의 위치를 안정적으로 유지하는 단계에 있는 분
가철식 장치교정
추천 대상은?
01성장기 어린이의 골격적 부조화나
턱 성장을 조절하고 싶은 분
턱 성장을 조절하고 싶은 분
02고정식 장치 부착이 부담스럽고
자유롭게 탈착하기를 원하시는 분
자유롭게 탈착하기를 원하시는 분
03식사나 양치 시 불편함 없이
구강 위생을 청결하게
유지하고 싶은 분
구강 위생을 청결하게
유지하고 싶은 분
04교정 치료 후 치아의 위치를
안정적으로 유지하는
단계에 있는 분
안정적으로 유지하는
단계에 있는 분
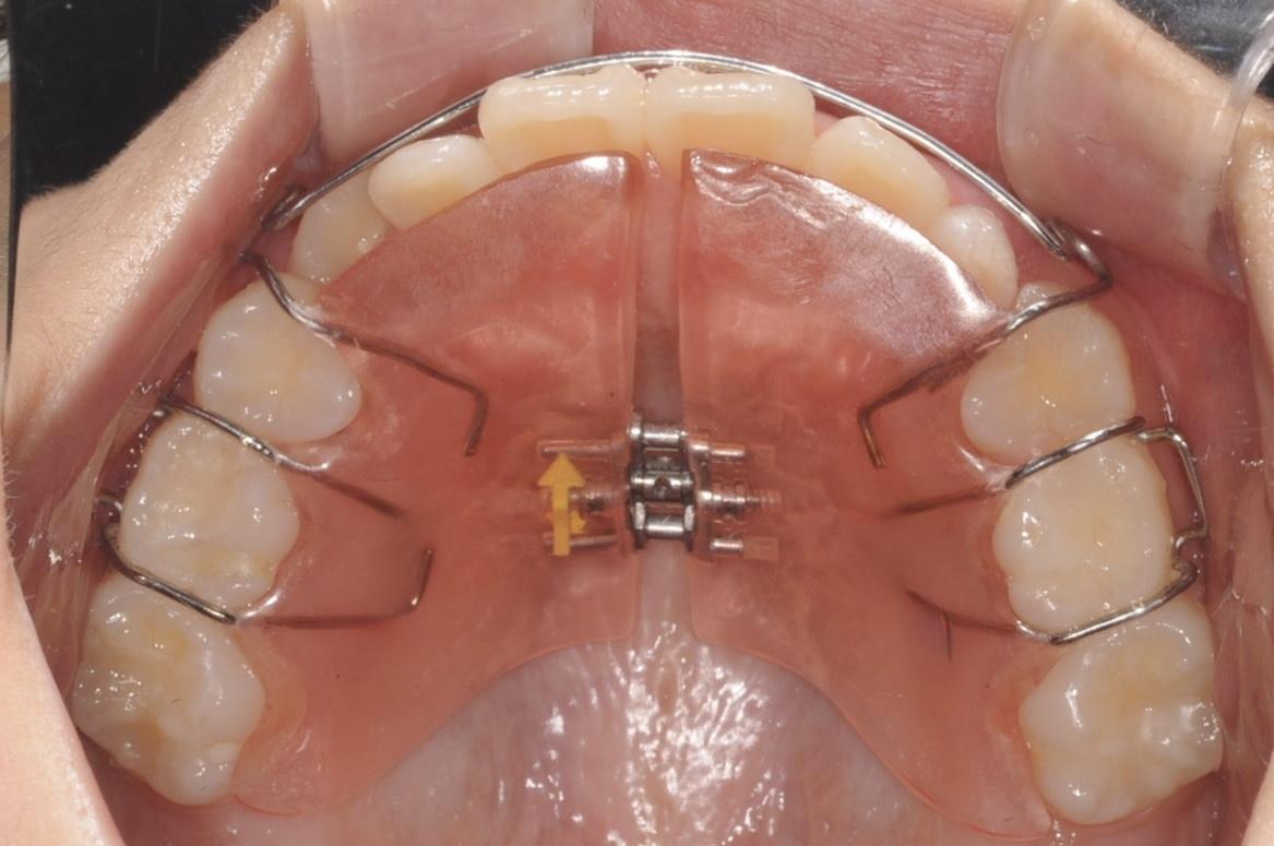
가철식 장치 소개

D-S Appliance
상악 제 1대구치의 원심 이동에 사용합니다.

Sagittal Appliance
상악 견치 맹출공간을 확인합니다. 전치부 총생을 개선하고, 아치 길이 확보, 영구치 맹출 공간을 확보합니다.

M-S Appliance
좁은 악궁을 확장시킵니다. 올바른 영구치의 맹출을 유도하며 교합을 개선합니다.
가철식 장치교정의
장점
01장치를 스스로 뺐다 꼈다 할 수 있어 관리가 매우 자유롭습니다.
02식사와 양치 시 장치를 제거하므로 구강 위생 관리가 뛰어납니다.
03중요한 미팅이나 일정 시 장치를 잠시 제거하여 일상생활에 지장이 없습니다.
04성장기 어린이의 경우, 턱뼈의 성장을 유도하거나 억제하는 등
골격적 부조화를 근본적으로 개선할 수 있습니다.
골격적 부조화를 근본적으로 개선할 수 있습니다.
05브라켓을 치아 전체에 부착하지 않아 이물감이 적으며
장치로 인한 통증이나 구강 내 상처 발생이 현저히 적습니다.
장치로 인한 통증이나 구강 내 상처 발생이 현저히 적습니다.
가철식 장치교정의
장점
01장치를 스스로 뺐다 꼈다 할 수 있어
관리가 매우 자유롭습니다.
관리가 매우 자유롭습니다.
02식사와 양치 시 장치를 제거하므로
구강 위생 관리가 뛰어납니다.
구강 위생 관리가 뛰어납니다.
03중요한 미팅이나 일정 시 장치를
잠시 제거하여
일상생활에 지장이 없습니다.
잠시 제거하여
일상생활에 지장이 없습니다.
04성장기 어린이의 경우,
골격적 부조화를
근본적으로 개선할 수 있습니다.
골격적 부조화를
근본적으로 개선할 수 있습니다.
05브라켓 부착이 없어 이물감이
적으며 통증이나 구강 내
상처 발생이 적습니다.
적으며 통증이나 구강 내
상처 발생이 적습니다.








